Bulletin du 31 mars 2020

Évaluer cet élément
(0 Votes)
 

Pandémie mondiale de COVID-19 : un bilan dramatique

La pandémie de Covid-19 continue à se propager à travers le monde, elle a infecté 826 222 personnes dans le monde et a causé plus de 40 000 morts et s’est étendue à plus de 180 pays.
Plus de la moitié de la population mondiale est confinée à cause de la forte contagion de ce virus. Les Etats-Unis recensent le plus grand nombre de cas avec 174 467 malades.
En Europe, l'Italie a franchi la limite des 105 000 cas et dépassé les 12 000 morts. Le bilan grossit également en Espagne où 94 417 personnes sont infectées par le coronavirus et plus de 8 200 en sont mortes. En France, 45 232 cas positifs sont confirmés le 31 mars, près de 21 000 personnes sont hospitalisées, et 3 032 décès sont à déplorer dans les hôpitaux du territoire, soit 418 de plus que la veille alors que le nombre de cas double tous les trois à quatre jours.
L’Afrique est de plus en plus touchée par le nouveau coronavirus doit “se préparer au pire” selon l’OMS. Une quarantaine de pays du continent est désormais contaminée par le COVID-19, avec une forte augmentation ces derniers jours dans certains pays en particulier.
Le bilan au Moyen-Orient est particulièrement contrasté : alors que l'épidémie fait rage en Iran, la situation des autres pays de la zone est bien plus sous contrôle.
Cette carte vous permet de suivre instantanément l'évolution épidémiologique de la pandémie dans le monde.

Carte en temps réel » Carte 3D » Statistiques en détail » Situation en Afrique » Site de l'OMS » Site du CDC »

Visioconférence : Questions-réponses sur le COVID-19

Le jeudi 16 avril, à 16h heure de Paris vous êtes cordialemment invités à participer à une visioconférence sous forme de séances de questions-réponses sur le COVID-19. Cette séance est animée par le Dr Philippe Fraisse, responsable santé publique – Groupe pour la recherche et l’enseignement en infectiologie de la SPLF ; CHU de Strasbourg. Connexion par Microsoft TEAMS.
Le lien sera communiqué par l'AUF dans les jours qui précèdent.

Télécharger Microsoft Teams » Webinar »

Centre de documentation COVID-19 du site de la SPLF

Plusieurs centre de documentation sur COVD-19 sont proposés.
Vous trouverez dans ces bases documentaires une doucmentation riche et variée libres d'accès, nous vous proposons dans cette rubrique plusieurs sources dont celui de la SPLF, du CPHG,  de l'APHP, de la SPILF du groupe de Coordination Opérationnelle en Réseau du Risque Épidémique et Biologique (COREB) et celle du ministère des solidarités et de la santé.

SPLF » SPILF » CPHG » COREB » APHP »

Recommandations d'experts et documents utiles

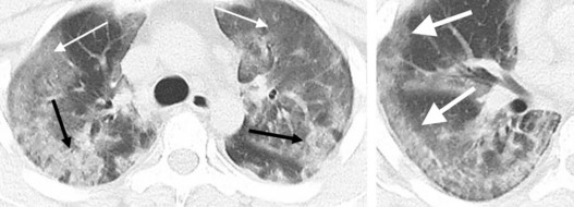
Epidémie de Covid-19 : Point sur l'imagerie

La France est actuellement en situation épidémique de stade 2 vis-à-vis du SARS-Cov-2, et la sollicitation des structures radiologiques, qu'elles soient hospitalières ou non, devient plus importante.
Cette montée en charge nécessite de clarifier le rôle de l'imagerie dans ce contexte épidémique :
1. Quelles sont les indications d'imagerie et quel type d'examen réaliser ?
2. Et quelles précautions prendre pour les manipulateurs et radiologues ?

Imagerie COVID » COVID-19 : Rôle du radiologue Pr Antoine Khalil »
 

la collection spéciale de la Bibliothèque Cochrane qui réunit les Revues Cochrane identifiées comme les plus directement utiles dans la prise en charge des patients hospitalisés pour des infections respiratoires aiguës sévères, vous assurant un accès immédiat aux revues systématiques pertinentes. La collection inclut des revues qui concordent avec les lignes directrices provisoires de l’OMS sur l’épidémie de coronavirus de 2019-2020 et d’autres identifiées par le groupe de travail « Soins aigus et d’urgence » de Cochrane.
Les sujets suivants sont traités : supplémentation hydrique et traitement vasopresseur, assistance respiratoire et ventilation mécanique, sevrage de la ventilation mécanique, prise en charge de l’hypoxémie, traitement médicamenteux et nutrition en soins intensifs.

Dossier Spécial COVID-19 » Cochrane Actualités et Ressources »

COVID-19 : Gestion d’un afflux massif de malades »
https://www.youtube.com/watch?v=GjKkJSJO1II&feature=share&fbclid=IwAR3bV6Je9Mpv1vI1utfTv1-lgeVy8qJaJ1bKDFUBOHCCt24uN8jxr6LHl8Q

COVID-19 : point Hebdo SFAR »


Habillage et déshabillage des soignants »

Ressources Bibliographiques

SPLF : Centre de documentation COVID-19
ASM : American Society of Microbiology

BMJ : The British Medical Journal
Cambridge Univesity Press
CDC : Centers for Disease Control and Prevention
Cell Press
JAMA
Lancet
The New England Journal of Medicine
Oxford University Press
PLOS
Springer Nature
Taylor & Francis
Web of Science
OMS : L'organisation mondiale de la santé
Wiley

 

 

Lu 2717 fois

Search