|
|
|
|
|
Pour certains, la préoccupation est au déconfinement, tout en redoutant une seconde vague. Pour d’autres, c’est l’afflux, les soins, les décisions à prendre avec les autorités. A partir de quels éléments ? Pubmed recense 8027 articles COVID-19 depuis le premier janvier 2020. Autant chercher une aiguille... Les sociétés savantes publient des recommandations régulièrement mises à jour : nous vous les proposons. Nous écoutons les experts et dialoguons par visioconférences organisées conjointement par la CIDMEF, la SPLF/EFP et l’AUF. Vous prenez des initiatives : nous sommes heureux de les partager avec vous..
|
|
|
Visioconférence du 23 avril 2020
Intitulée « Le point sur l’épidémiologie du COVID-19 : le rationnel derrière les différentes interventions et les conditions du déconfinement (critères et modalités) » animée par le Pr. Antoine Flahault co-Directeur de la Swiss School of Public Health, Zürich, Directeur de l’Institut de Santé Globale, Faculté de Médecine, Université de Genève, Suisse.
 |
 |
La prochaine visioconférence, se tiendra 7 mai 2020 à 16h00 (heure de Paris) : « Le point sur la pandémie du COVID-19 » , animée par le Dr Jean François Lemoine, médecin-journaliste.
Depuis le début de la pandémie, le Dr Lemoine participe à une émission de grande écoute, L’info du vrai, diffusée chaque soir à 18h00 sur la chaîne de télévision française Canal+. De ce fait, il a acquis une vision d’ensemble de cette pandémie qui est utile pour contextualiser les différentes interventions médicales et sociétales, dans chacun de nos pays.
Connexion par Microsoft Teams avec Mac ou PC, en individuel ou dans les CNF de l'AUF. Cliquez sur ce lien communiqué par Catinca, AUF. Il sera actif 15 minutes avant mais vous pouvez déjà le tester.
Horaires : 10h heure de Montréal, 14h heure de Bamako, Dakar, Conakry, Abidjan, Bouaké et Ouaga, 15h heure de Tunis, Rabat, Alger, Kinshasa, Cotonou, Bangui et Libreville, 16h heure de Paris, 17h heure de Beyrouth, Damas, Antananarivo et Majunga, 18h heure de Maurice et la Réunion.
|
Coronavirus en Afrique : pourquoi la catastrophe annoncée n'a pas eu lieu ?
Les experts annoncent depuis des mois une déferlante de l'épidémie de coronavirus en Afrique, où la pauvreté et le manque d'infrastructures de santé font craindre le pire. Pourtant, alors que le premier cas remonte au 14 février sur le continent, la vague n'est toujours pas arrivée. Comment expliquer cette relative préservation ?
Le vaccin BCG peut-il protéger contre la COVID-19?
L’Agence Universitaire de la Francophonie lance un appel à projets international pour soutenir des initiatives d’étudiant.e.s, d'élèves-ingénieurs et de jeunes chercheur.e.s liées à la pandémie. Un fonds exceptionnel de 500 000 euros est consacré à cet appel. Des projets de moins de 10 000 euros jusqu'à 50 000 euros pourront être financés. L'appel est ouvert jusqu'a ce jour le 3 mai 2020.
Regain d’intérêt pour le zithromax après des résultats ambigus sur l’hydroxychloroquine
Il est grand temps de tester des protocoles avec l’azithromycine seule dans les infections de type COVID compte tenu de ses propriétés antiinfectieuses, y compris antivirales, mais aussi antiinflammatoires. Son profil pharmacologique est très favorable aux doses antibactériennes comme immunomodulatrices.
Rédaction : Pr Laurent Nicod
|
|
|
Etudes et appels d’offres
|
|
|
Proposition de protocole de recherche Francophone sur l'hydroxychloroquine
La société Libanaise de Pneumologie a mis en place un protocole d'étude visant à apprécier si l’hydroxychloroquine protège les soignants d’une contamination au Covid 19. Si nous démontrons une efficacité préventive de cette molécule, cela pourrait impacter fortement certaines décisions de santé publique. Une étude similaire a été lancée par l'AP-HP intitulé Essai PREP COVID testant la prévention de l'infection COVID chez les soignants par l'hydroxychloroquine et par l'azithromycine et ayant démrré le 14 avril 2020.
Résultats de l'enquête un jour donné auprès des services de pneumologie COVID-19
Enquête réalisée sous l’égide du Pr Fraisse de Strasbourg et du Grepi (Groupe de recherche et d’enseignement de Pneumo-infectiologie) de la SPLF, à renouveler tous les 15 jours jusqu’à la fin de la phase épidémique puis d’endiguement de l’épidémie de Covid-19. Nous vous remercions de participer à l’étude du Pr Fraisse, le formulaires est accessible en cliquant sur ce lien, il s'agit d'un petit questionnaire qui prend 3 minutes à compléter. Vous trouverez dans le document à télécharger la synthèse des résultats avec les chiffres complets dont les réponses des services de l’Espace francophone et des doyens de faculté étrangers. A côté vous pouvez télécharger la dernière version du document complet relatif à l'organisation de lutte contre le COVID-19 rédigée par le Pr Fraisse.
 |
 |
Enfin , la SPLF va mettre en place une étude de cohorte concernant le suivi à distance des patients "COVID". ( hyperréactivité bronchique séquellaire ? processus fibrosant chronique ? autres séquelles ? ) Toutes les sociétés savantes de l’EFP, toutes les équipes libérales ou hospitalières prenant en charge des patients Covid sont invités à participer et peuvent en ce sens contacter conjointement le Pr Khayat : Cette adresse e-mail est protégée contre les robots spammeurs. Vous devez activer le JavaScript pour la visualiser. et le Dr Soyez : Cette adresse e-mail est protégée contre les robots spammeurs. Vous devez activer le JavaScript pour la visualiser. sont les bienvenues pour apporter leurs idées et plus tard leur contribution.
Dossier INFOX du groupe COVID Afrique U
Les enseignants et les étudiants en santé doivent s’engager énergiquement dans la lutte contre les informations non scientifiques qui polluent la prise en charge de la pandémie COVID-19 en Afrique. Ce dossier élaboré par des universitaires de 11 pays d'Afrique francophone fait le point sur ces fausses informations, leurs conséquences sociales graves et propose des pistes de solution pragmatiques. Propos colligés par Jacques Barrier [ Cette adresse e-mail est protégée contre les robots spammeurs. Vous devez activer le JavaScript pour la visualiser. ] Sous l’égide du Conseil scientifique de la CIDMEF
|
Projet d’appui à la recherche-action sur la pandémie et à la définition de la riposte africaine à l’épidémie de Covid-19 – ARIACOV
Un projet qui vis à accompagner les autorités du Bénin, du Cameroun, du Ghana, de Guinée, de République démocratique du Congo et du Sénégal dans l’élaboration et le renforcement des stratégies nationales de riposte à l’épidémie de Covid-19 » Projet de recherche-action Ariacov (Appui à la riposte africaine à l’épidémie de Covid-19) de l’Institut de recherche pour le développement IRD. D’une durée de deux ans, il est financé par l’AFD (Agence française de développement) à hauteur de 2,2 M€.
 |
Afin d’assurer un accès immédiat aux revues systématiques pertinentes, la présente Collection spéciale de la Bibliothèque Cochrane réunit les Revues Cochrane identifiées comme les plus directement utiles dans la prise en charge des patients hospitalisés pour des infections respiratoires aiguës sévères. Elle inclut des revues qui concordent avec les lignes directrices provisoires de l’OMS sur l’épidémie de coronavirus de 2019-2020 (28 janvier 2020) et d’autres identifiées par le groupe de travail « Soins aigus et d’urgence » de Cochrane. Cette Collection spéciale inclut des Revues Cochrane sur les sujets suivants : supplémentation hydrique et traitement vasopresseur, assistance respiratoire et ventilation mécanique, sevrage de la ventilation mécanique, prise en charge de l’hypoxémie, traitement médicamenteux et nutrition en soins intensifs.
|
|
|
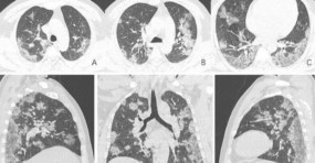
Formation en imagerie COVID
La Société d’imagerie thoracique et la Société Française de Radiologie mettent à disposition régulièrement des cours de formations à l’usage des radiologues et des manipulateurs au fur et à mesure de l’avancée de nos connaissances de cette nouvelle maladie. Vous trouverez au sein des ces cours des informations sur l’épidémiologie de cette infection, sur la place de l’imagerie mais également les différentes mesures de protection au quotidien.
|
La société Tunisienne des maladies Respiratoires et d'Allergologie STMRA publie régulièrement des bulletins d'information avec une mise au point et revue de la littérature sur un aspect particlulier de l'infection COVID. Trois sujets ont été traités : La prévention et traitement des complications thrombo-emboliques des patients COVID-19 hospitalisés, l'infection COVID et les sujets âgés et une dernière sur les précautions à prendre en milieu de soins lors du déconfinement.
|
Les réactions des Etats face à la pandémie ont montré que le sort des populations a été considéré comme plus important que celui de l’économie. Il faut poursuivre dans cette voie et renforcer les solidarités internationales. Contre la pandémie, deux solutions étaient possibles. La «voie réaliste» dite de «l’immunisation collective» consistait pour un pays à choisir de sauver son économie en sacrifiant une (faible) partie de sa population, la moins productive, en attendant que le virus cesse de se répandre...
Par Francis WOLFF
|
|
|
|
|